-
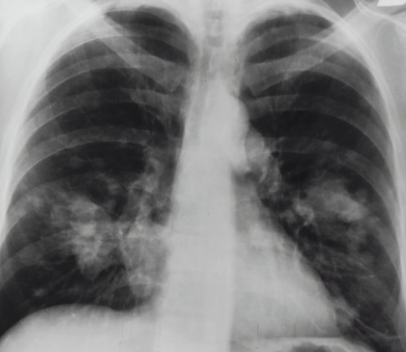
폐암 위험을 낮춰주는 녹차의 효능
녹차의 폐암 예방 효과에 대한 연구 결과가 있습니다. 대만 충산(中山) 의학대학 연구팀이 진행한 연구에 따르면, 흡연자와 비흡연자 모두에게 녹차가 폐암 발생 위험을 낮춰주는 효과가 있다는 것입니다.
연구팀은 폐암 환자 170명과 건강한 사람 340명을 대상으로 조사를 실시했습니다. 그 결과, 녹차를 전혀 마시지 않는 사람과 하루에 1잔 이상 마시는 사람을 비교했을 때, 폐암 발생 위험은 평균적으로 5배나 높은 것으로 나타났습니다. 또한, 흡연자의 경우 녹차를 전혀 마시지 않는 사람에 비해 하루에 1잔 이상 마시는 사람의 폐암 위험이 13배나 높다는 결과도 있었습니다.
이러한 효과는 녹차에 함유된 강력한 항산화 성분인 폴리페놀에서 나타나는 것으로 연구팀은 밝혔습니다. 녹차에는 폴리페놀이 풍부하게 포함되어 있으며, 이 성분은 특히 강력한 항산화 작용을 가지고 있어 종양 형성을 억제하는 효능이 있다고 알려져 있습니다.
이 연구 결과는 미국암연구학회(AACR)와 국제폐암연구학회(IASLC)가 공동 주최한 폐암 학술회의에서 발표되었습니다. 이러한 연구들은 녹차가 폐암 예방에 긍정적인 영향을 미칠 수 있다는 가능성을 제시하며, 폐암 예방을 위해 녹차의 소비를 고려하는 데 도움을 줄 수 있습니다.목차
폐암 환자 녹차 효능
임산부가 젓갈을 먹을 때는 꼭꼭 씹어서 먹는 것이 중요합니다. 이렇게 하면 젓갈의 염분이 천천히 입안에 머무르면서 천천히 몸에 흡수되므로 과도한 염분 섭취를 피할 수 있습니다.
또한, 임신 중에는 염분 섭취량을 제한해야 합니다. 임신중독을 예방하기 위해 염분 섭취를 적절히 조절하는 것이 중요합니다. 따라서 젓갈을 과도하게 섭취하는 것은 피해야 합니다.
임산부가 젓갈을 먹을 때에는 신선하고 청결한 제품을 선택해야 합니다. 오랫동안 방치되거나 변질된 젓갈은 위장 장애나 식중독을 유발할 수 있으므로 주의해야 합니다.
더불어, 개별적인 상황과 건강 상태에 따라 의사나 영양사와 상담하는 것이 좋습니다. 자신의 임신 상태와 건강을 고려하여 적절한 식단을 지향하는 것이 중요합니다.
이외에도 임산부는 영양 균형을 유지하기 위해 채소, 과일, 단백질 등의 다양한 식품을 균형 있게 섭취하는 것이 좋습니다. 영양소가 풍부한 식품을 선택하고 식단 다이버시티를 유지하는 것이 임신 기간 동안 건강한 임신을 유지하는 데 도움이 됩니다.
마지막으로, 의사의 지시에 따라 약제나 건강 보조제를 복용하는 경우에는 젓갈과 함께 복용 가능한지 여부를 확인하는 것이 좋습니다.
요약하자면, 임산부가 젓갈을 먹을 때에는 씹어서 먹고, 염분 섭취를 제한하는 것이 중요합니다. 개별적인 상황과 건강 상태에 따라 의사나 영양사의 조언을 받는 것이 가장 확실한 방법이며, 영양 균형을 유지하고 식단 다이버시티를 지키는 것도 중요합니다.- 녹차는 차나무의 잎을 우려내어 음용하는 식품이다.
- 녹차와 홍차는 차나무의 다른 처리 방법으로 만들어진다.
- 허브차는 차 대신 과일이나 향신료를 사용한다.
- 녹차에는 항산화 작용을 하는 폴리페놀이 함유되어 있다.
- 주요 폴리페놀인 카테킨과 EGCG는 암 세포의 죽음을 유도하는 효과가 있다.
- 일부 연구에서는 녹차가 피부암, 폐암, 유방암 등에 효과적일 수 있다는 것을 발견했다.
- 임상시험 결과는 엇갈리며 녹차의 암 예방 효과에 대해 명확한 결론을 내리기 어렵다.
- 녹차는 일반적으로 안전하나, 알레르기 반응이 있는 경우나 간질환을 일으키는 경우가 있다.
- 너무 많은 양의 녹차 섭취는 약물 효과를 저해할 수 있다.
- 녹차에는 카페인과 탄닌이 함유되어 있어 탈수증상이나 철분 흡수 방해 등의 문제가 발생할 수 있다.
폐암 환자 녹차의 부작용
- 녹차에는 카페인이 함유되어 있으므로, 녹차를 과도하게 섭취하면 카페인 자극에 민감한 환자들은 불면증, 심박 조절의 어려움, 신경과민 등의 증상을 경험할 수 있습니다.
- 소화장애: 일부 환자들은 녹차를 마시면 소화 장애, 위부 불쾌감, 메스꺼움, 구토 등의 증상을 겪을 수 있습니다. 특히 위장궤양이나 위염 등 위장 관련 질환을 가진 환자는 조심해야 합니다.
- 녹차에는 카테킨이라는 화합물이 함유되어 있어 약물 대사에 영향을 줄 수 있습니다. 암 환자는 항암 치료를 받거나 항혈전제 등의 약물을 복용하는 경우가 많은데, 이러한 약물들과 녹차의 섭취는 약물의 효과를 감소시킬 수 있으므로 주의가 필요합니다.
- 녹차는 철분 흡수를 방해하는 성질이 있으므로, 체중이 감소하거나 영양 섭취가 제한된 암 환자에게는 철분 섭취의 어려움이 될 수 있습니다.
- 일부 환자들은 녹차에 포함된 성분에 알레르기 반응을 보일 수 있습니다. 피부 발진, 가려움, 호흡곤란, 부종 등의 증상이 나타날 수 있으며, 이러한 경우 녹차를 중단해야 합니다.
